Itapema: Pai se nega a comprar iogurte e quebra perna de criança

30/07/18 às 20h20
Atualizado em 25/10/25 às 21h03
Visualizações: 249

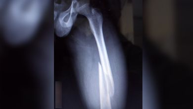
 Um homem identificado apenas como B. L, de 35 anos, foi preso após a Polícia Militar ser acionada no hospital por conta de agressões sofridas por sua filha. Ele mesmo teria sido o autor da violência, que resultou numa fratura na perna.

O motivo? A garota queria um iogurte. Após solicitar insistentemente ao pai que lhe comprasse um iogurte, o homem teve um ataque de raiva e jogou a criança na cama várias vezes, quebrando a perna direita da menina. O caso foi registrado neste domingo (29), em Itapema. A menina foi atendida no Hospital Santo Antônio, onde o médico plantonista acionou as autoridades.

O indivíduo foi detido e conduzido à Delegacia de Polícia Civil.

 

Getsites